DOŁĄCZ DO SUBSKRYBENTÓW

NEWSLETTERA

14 lutego – Światowy Dzień Świadomości o Wrodzonych Wadach Serca

Podziel się treścią:

Dr hab. n. med. Magdalena Lipczyńska
Adiunkt w Klinice Wad Wrodzonych Serca Narodowego Instytutu Kardiologii w Warszawie

Co łączy znanego amerykańskiego kulturystę i aktora z amerykańskim snowbordzistą, któremu udało się trzy razy zdobyć olimpijskie złoto? Zarówno Arnold Schwarzenegger, jak i Shaun White, urodzili się z wrodzoną wadą serca i od dzieciństwa zmagali się z tą chorobą podobnie jak wielu chorych na cały świecie. Szacuje się, że na 1000 żywych urodzeń rozpoznanie stawia się u 6-8 dzieci. Obecnie populacja dorosłych ze złożonymi wadami serca jest liczniejsza niż dzieci z takim rozpoznaniem. Taki stan rzeczy jest możliwy dzięki doskonałej diagnostyce kardiologicznej i rozwojowi technik kardiochirurgicznych pozwalających nie tylko przeżyć operację i dożyć wieku dorosłego, ale i zdobyć wykształcenie, pracować zawodowo i założyć rodzinę. Patrząc na kariery sportowe wspomnianych zawodników, także sport może i powinien być częścią życia tych pacjentów.

Należy mieć jednak świadomość, że szczególnie chorzy z wadami złożonymi wymagają opieki kardiologa specjalisty wad wrodzonych serca, a często także wielospecjalistycznego zespołu lekarzy ze względu na dysfunkcje innych układów i narządów poza sercem. Funkcjonowanie w systemie opieki zdrowotnej takich zespołów ekspertów, rozpoznawanych w środowisku lekarzy i pacjentów, jest niezbędne dla ograniczenia chorobowości oraz poprawy długości i jakości życia dorosłych z wadami wrodzonymi serca. Konsultacje tych chorych są dużo bardziej złożone niż innych pacjentów kardiologicznych i zgodnie z zaleceniami międzynarodowych towarzystw kardiologicznych powinny uwzględniać niemal corocznie wiele badań dodatkowych takich jak EKG, przezklatkowe badanie echokardiograficzne, 24-godzinną rejestrację EKG metodą holtera, próbę wysiłkową, najlepiej ergospirometyczną, a dla lepszego zobrazowania zaawansowania złożonych wad także rezonans magnetyczny czy tomografię komputerową serca i naczyń.

Szczególnie trudne i ważne jest poradnictwo w zakresie planowania i prowadzenia ciąży. Wbrew temu co uważano wcześniej, większość kobiet z wadami wrodzonymi może planować ciążę i rodzić siłami natury. Ważne by konsultacje i opieka były przeprowadzane przez specjalistów z zakresu omawianego tematu. Coraz liczniejsze dane wskazują, że ryzyko wystąpienia wady wrodzonej u potomstwa, choć niekoniecznie tej samej co u matki, może sięgać 4-6%. Z tego powodu tak ważne jest badanie echokardiograficzne serca płodu w każdej ciąży pacjentki z wadą wrodzoną serca wykonywane przez bardzo doświadczonych specjalistów.

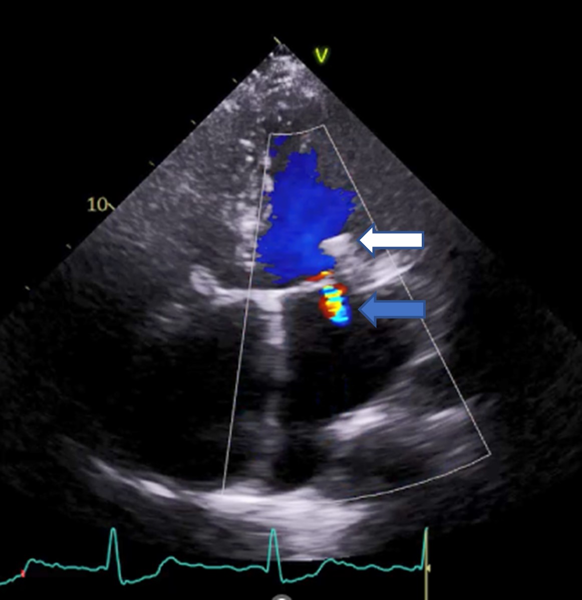
Zabieg operacyjny wady wykonuje się najczęściej w dzieciństwie. W przypadku wad złożonych bywa on często wieloetapowy. W wieku dorosłym pojawiają się natomiast odlegle powikłania wady czy następstwa odległe samej operacji. Tacy pacjenci po okresie stabilnego samopoczucia mogą wymagać kolejnych zabiegów. W ostatnich latach wzrosła liczba kardiologicznych interwencji przezskórnych, które coraz częściej wykonuje się również u chorych z wadami wrodzonymi. Ugruntowaną pozycję ma już przezcewnikowa implantacja zastawki tętnicy płucnej, raportowane są pojedyncze przypadki przezcewnikowej implantacji zastawki aortalnej, a w ostatnich 2-3 latach także zabiegi przezskórnej naprawy zastawek przedsionkowo-komorowych metodą brzeg-do-brzegu poprzez zbliżenie płatków zastawki za pomocą implantowanych klipsów (Rycina 1).

Pacjenci z wadami wrodzonymi coraz częściej korzystają także z inwazyjnego leczenia zaburzeń rytmu serca, które obok niewydolności serca są jednymi z najczęstszych odległych powikłań. Zabiegi ablacji w doświadczonych ośrodkach są wykonywane w coraz bardziej złożonych wadach. Ze względu na swoją większą skuteczność i bezpieczeństwo w wielu przypadkach zalecane są jako metoda pierwszego wyboru.

Zaprezentowane aspekty to tylko część złożonej opieki nad pacjentem z wadą wrodzoną serca. Opieki, która rozpoczyna się od urodzenia, a wobec rozwoju kardiologii prenatalnej czasami nawet od etapu płodowego i trwa do śmierci. Rozpoznanie wady wrodzonej serca nierzadko stanowi dla pacjenta i personelu zaangażowanego w opiekę zdrowotną wyzwanie na całe życie.

Rycina 1. Istotna redukcja fali zwrotnej mitralnej (strzałka niebieska) za pomocą systemu Pascal (strzałka biała) u pacjenta z tetralogią Fallota w odległym czasie po pierwotnej korekcji wady. Przezklatkowe badanie echokardiograficzne, projekcja koniuszkowa czterojamowa.

Świat Lekarza
Świat Lekarza
Świat Lekarza to opiniotwórcze pismo, portal i platforma medialna, skierowana do lekarzy, poruszająca tematykę systemu ochrony zdrowia oraz poszczególnych dziedzin medycyny, m.in. kardiologii, onkologii, pulmonologii, urologii, diabetologii, okulistyki, chorób rzadkich.

Więcej od autora

Chcesz być na bieżąco z informacjami ze świata medycyny?

ŚWIAT LEKARZA i ŚWIAT LEKARZA 3D w Twojej skrzynce mailowej: